Wisdom Teeth Removal in Chandigarh
At Dantaa, we provide specialized care for safe and effective removal of wisdom teeth. If you are looking for wisdom teeth removal in Chandigarh, our clinic ensures a painless, comfortable, and professional experience. Wisdom teeth are the last ones to appear in a person’s mouth and usually grow between 17 to 25 years of age. They do not cause any problems for some people, while they could cause pain, crowding, and other dental issues requiring extraction in most individuals. The entire process is made smooth and easy, from consultation to recovery. Especially for those seeking painless wisdom teeth removal in Chandigarh.

Wisdom Teeth Removal?
The procedure involving the teeth that are extracted, all or a portion of the third molars, is demolished. These are the last developed teeth that show up at the back of the mouth. Many patients visiting us for wisdom tooth extraction in Chandigarh come with symptoms of impaction or infection.
Most of the time, they are not able to grow properly due to inadequate space, resulting in impaction, misalignment, or getting infected. When this happens, surgery is suggested to prevent further complications. Choosing the best wisdom teeth removal in Chandigarh ensures that the procedure is done safely, with minimal discomfort and advanced care.
Why Do People Need Wisdom Teeth Removed?
They may need removal of wisdom teeth that are impacted (under the gums or jawbone), sideways or crooked in growth, or causing crowding of other teeth. Possible additional indications of considering needing removal is partial eruption during which trapped bacteria can create infections / gum disease, cysts, or adjacent teeth being damaged.
At Dantaa, we frequently see patients searching for wisdom teeth removal in Chandigarh because of chronic pain, swelling, or repeated infections. Consideration for removal at Dantaa is based on radiographic and clinical evaluation by dental experts.

What Happens If Wisdom Teeth Are Not Removed?
If wisdom teeth remain untreated for a long run then it may cause several problems, such as crowding of teeth, gum disease, jaw pain, and even cysts or tumors. Bad breath and decay can also become chronic problems because these teeth are hard to clean.
Many individuals who delay wisdom tooth extraction eventually experience worsening symptoms that require urgent surgical intervention. Early removal significantly reduces complications and improves long-term oral health.

Advantages and Dangers of Extracting Wisdom Teeth
There are several advantages to having wisdom teeth extracted. It helps prevent infections, pain, and swelling down the road. In addition, it may help with oral hygiene and continuous support in protecting adjacent teeth from decay or misalignment.
For patients looking for painless wisdom teeth removal in Chandigarh, modern techniques such as sedation, advanced surgical tools, and minimal-touch procedures ensure a comfortable experience.
Although the process is generally safe, potential risks include swelling, dry socket (loss of the healing blood clot), temporary nerve sensitivity, or slight bleeding. These are uncommon, though, and treatable with the right care.
How the Process Operates
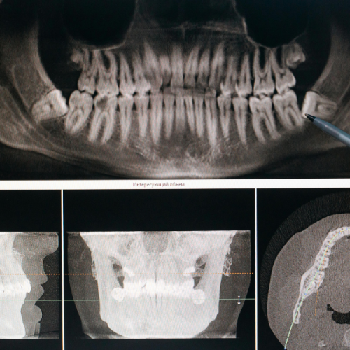
At Dantaa Dental Clinic, we will start with a thorough evaluation to find out where your wisdom teeth are located through either X-rays or 3D imaging. This helps patients understand the condition clearly, especially those visiting us for wisdom teeth removal in Chandigarh.
As far as your comfort level, we will usually use general anesthetic, sedation or local anesthesia, based on the situation. The next step is that the dentist or oral surgeon will make a small incision in the gum tissue. If the wisdom tooth is impacted, it may be necessary to break the tooth up into small pieces to facilitate easier removal.
Once the tooth is removed we will clean the area, pack gauze to encourage clot formation, and if needed, we will put in stitches. The procedure itself will usually take 30 to 60 minutes depending on the number of teeth and the complexity of their removal.
Types of Wisdom tooth Extraction
Depending on the state of the tooth, we carry out various extraction procedures:
- Simple Extraction: Using forceps, extract teeth that have fully erupted.
- Surgical Extraction: In cases where an incision is needed to remove teeth that are bodily migrated into the gum tissue.
- Soft Tissue Impaction: A tooth that is poised over bone but underneath the gum tissue.
- Bony Impaction: The most complex category, where the tooth is completely or partially within the jawbone as shown by dental experts.
These types are essential for determining treatment plans and understanding the wisdom teeth removal cost.
What to anticipate while recovering
The average recovery period is five to fourteen days. You might have some bleeding, swelling, and minor discomfort during the first 24 hours. Usually, swelling peaks on days two or three and then goes down. Within a week, the majority of patients can resume their regular activities.
For those undergoing painless wisdom teeth removal, recovery tends to be faster due to minimally invasive methods. It could take a couple of months for complete bone healing, though most discomfort subsides earlier.
Aftercare and Recovery
After removing knowledge teeth during the first two days, you will usually experience mild swelling, bleeding or discomfort. And that is perfectly normal during the process and will usually improve significantly over the next week.
This process makes it possible to be effective in the right time and manner, make sure you relax well, avoid eating hard foods and consuming relatively soft foods such as curd or soup. Moreover, apply ice packs for reducing the swelling, and take any other prescribed medication as directed.
As advised by dental experts, you should not use straws, smoke, or even touch this area, as that can dry out the healing site or even cause a dry socket. After the first 24 hours, start rinsing your mouth gently with warm salt water. For most people, normalcy returns anywhere between 5 and 14 days.
Can Wisdom Teeth Stay Without Extraction?
Wisdom teeth that erupt straight, are totally erupted, and can be efficiently cleaned may not need extraction in some rare cases, but this situation is an exception rather than the rule.
It is rather uncommon for people to keep their wisdom teeth throughout life; most people will eventually find the need for extraction when they’re nearing 18 or going through early adulthood. Those seeking wisdom tooth extraction often come to us after years of ignored symptoms.
FAQS
Q1. What is wisdom teeth removal in Chandigarh, and why is it necessary?
It is the surgical removal of third molars that cause pain, infection, or crowding.
Q2. Is painless wisdom teeth removal in Chandigarh possible?
Yes, with modern anesthesia and minimally invasive techniques.
Q3. What is the typical wisdom teeth removal cost in Chandigarh?
Costs vary depending on impaction and surgical complexity.
Q4. Where can I find the best wisdom teeth removal in Chandigarh?
Dantaa offers expertise, advanced equipment, and patient-focused care.
Q5. How long does the wisdom teeth removal procedure in Chandigarh take?
Typically 30–60 minutes depending on number of teeth and complexity.
Q6. How should I prepare for wisdom tooth extraction in Chandigarh?
Avoid eating before sedation, share medical history, and follow dentist instructions.
Q7. What is the recovery time after wisdom teeth removal in Chandigarh?
Most patients recover within 2–10 days.
Q8. Are there any side effects after wisdom teeth removal in Chandigarh?
Temporary swelling, mild bleeding, or soreness, all manageable.
Q9. Can I eat normally after wisdom tooth extraction in Chandigarh?
Start with soft foods and progress gradually.
Q10. What are the benefits of getting painless wisdom teeth removal in Chandigarh over traditional methods?
Less discomfort, faster healing, minimal swelling, and a smoother recovery.
Book Your Consultation Today!
If you are experiencing discomfort, swelling, or repeated infections, now is the right time to schedule an evaluation. For safe, expert, and painless wisdom teeth removal in Chandigarh, Dantaa is trusted by hundreds of patients for dependable care.